Theo ước tính, trên thế giới, cứ khoảng 1.000 người thì có 1 người bị nhuyễn xương (Osteomalacia) (1). Đây là căn bệnh đặc trưng bởi sự mềm xương do bất thường chuyển hoá xương. Nhuyễn xương khác với tình trạng phổ biến loãng xương. Nguyên nhân gây nhuyễn xương là do sự thiếu hụt trầm trọng vitamin D, gây giảm canxi trong chất nền xương. Ở trẻ em và thanh thiếu niên, sự mềm xương trong bệnh nhuyễn xương ảnh hưởng đến quá trình phát triển, khiến xương bị cong, đặc biệt nặng hơn ở trẻ thừa cân, béo phì. Nhuyễn xương ở người lớn tuổi có thể dẫn đến gãy xương [1]. Hình 1 là hình ảnh hệ xương khỏe mạnh và hệ xương bị nhuyễn xương hoặc còi xương.

Hình 1. Hệ xương khỏe mạnh và hệ xương bị nhuyễn xương hoặc còi xương.
Nguyên nhân
Nhuyễn xương là kết quả do khiếm khuyết từ quá trình hình thành và phát triển xương. Trong quá trình này, cơ thể người sử dụng khoáng chất canxi và phosphat để xây dựng nên bộ xương khỏe mạnh. Thiếu hụt vitamin D dẫn đến bất thường hấp thu canxi tại ruột, giảm mức canxi ion hoá và tổng mức canxi huyết thanh. Hạ canxi gây ra cường cận giáp thứ phát, là một phản ứng cân bằng nội môi để duy trì mức canxi máu mà đáng lẽ được sử dụng cho sự phát triển xương. Để tăng cường hấp thu canxi, hóc môn cận giáp (PTH) làm giảm tiết canxi, đồng thời kéo theo sự tăng thải phosphat trong nước tiểu, dẫn tới suy giảm lượng phosphat trong máu, gây thiếu hụt khoáng hóa trong xương. Tình trạng thiếu vitamin D kéo dài sẽ gây nhuyễn xương, hạ canxi máu và khó sử dụng nguồn canxi dự trữ trong xương vì nguyên bào xương không có khả năng tái hấp thu xương chưa được khoáng hóa.
Các nguyên nhân gây thiếu hụt vitamin D gồm: i) Chưa cung cấp đủ lượng vitamin D (nguyên nhân phổ biến nhất): ánh nắng mặt trời giúp sản xuất vitamin D tại da, do đó, những người sống ở vùng thiếu ánh mặt trời hoặc không đủ vitamin D trong khẩu phần ăn có thể mắc bệnh nhuyễn xương; ii) Phẫu thuật: trong cơ thể, dạ dày chịu trách nhiệm phân giải thức ăn để tổng hợp vitamin D và các khoáng chất, sau đó sẽ được hấp thụ ở ruột. Quá trình này sẽ bị phá vỡ nếu cơ thể mắc bệnh phải phẫu thuật cắt một phần hoặc toàn bộ dạ dày, kết quả là cơ thể thiếu hụt vitamin D và canxi. Một số phẫu thuật khác để bỏ hoặc nối thông ruột non cũng dẫn tới thiếu vitamin D và canxi; iii) Bệnh Celiac: là một rối loạn miễn dịch, trong đó một số loại thức ăn chứa gluten - một loại đạm được tìm thấy trong lúa mì, lúa mạch và lúa mạch đen, có thể gây tổn thương lớp lót ruột non. Ruột non sau khi bị tổn thương không thể hấp thu tốt các chất dinh dưỡng, dẫn tới thiếu vitamin D và canxi; iv) Rối loạn chức năng gan thận: là các bộ phận hoạt hóa vitamin D trong cơ thể nên khi chức năng gan thận bị suy giảm sẽ ảnh hưởng tới khả năng này của cơ thể; v) Tác dụng phụ của thuốc: một số loại thuốc dùng để điều trị co giật gồm Phenytoin (Dilantin, Phenytek) và Phenobarbital có thể gây thiếu hụt vitamin D và nhuyễn xương.
Triệu chứng
Nhuyễn xương đặc trưng bởi tình trạng mất cân bằng khoáng chất của xương. Một số triệu chứng của nhuyễn xương tương tự với loãng xương, nhưng trên thực tế nhuyễn xương và loãng xương là khác nhau. Nhuyễn xương bắt nguồn từ xương (osteo-) và mềm (-malacia) chỉ tình trạng thiếu hụt khoáng chất trong quá trình hình thành xương, trong khi loãng xương (osteoporosis) chỉ tình trạng mỏng xương và giảm mật độ chất trên một xương đã phát triển hoàn chỉnh.
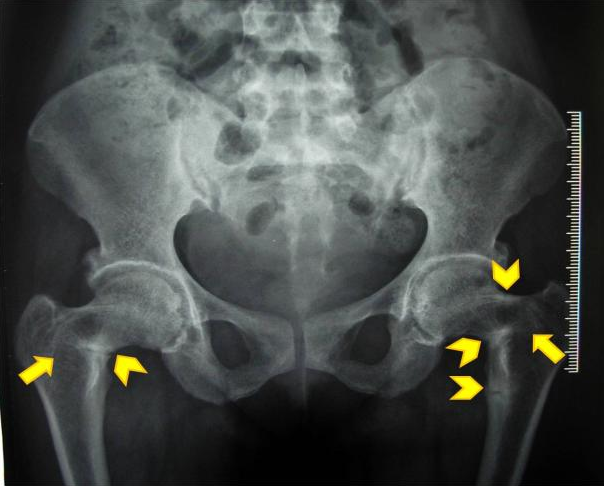
Các triệu chứng của nhuyễn xương ít nhiều có liên quan đến các nguyên nhân như: đau cơ và khớp (đặc biệt là cột sống, xương chậu, xương chân), yếu cơ, đi lại khó khăn, dáng đi lạch bạch, hạ canxi máu (khi thăm khám nhận thấy biểu hiện Chovstek - một dấu hiệu lâm sàng do thần kinh bị kích thích), chèn ép đốt sống và thấp còi, xương chậu dẹt, yếu, xương mềm và dễ gãy, hoặc bị cong. Ở người lớn, nhuyễn xương thường tiến triển âm thầm, gây đau nhức ở vùng cột sống (thường là cột sống thắt lưng) và bắp đùi trước khi lan sang cánh tay và xương sườn [2]. Cơn đau thường đối xứng, không lộ rõ và gắn liền với cảm giác nhạy đau ở các xương liên quan, yếu gốc chi (đầu gần cơ), khó leo trèo, khó khăn khi lên cầu thang và khó đứng dậy khi ngồi xổm. Hình 2 là hình ảnh gãy giả xương đùi hai bên (mũi tên không thân màu vàng), hay còn gọi là vùng Looser (Losser’s zone). Đây là hình ảnh đường giảm xuyên thấu tại vùng xương nằm ngay ngoài các động mạch lớn. Một số chuyên gia cho rằng, hình ảnh này tạo nên bởi dòng máu chảy qua động mạch, do đó chỉ nhỏ khoảng vài mm chiều rộng và vài cm chiều dài, thường thấy ở xương đòn, xương chậu và cổ xương đùi.

Hình 2. Hình ảnh gãy giả xương đùi hai bên (mũi tên không thân màu vàng) [3].
Phòng bệnh và điều trị
Mặc dù là nguồn cung cấp vitamin D tốt, nhưng ánh sáng mặt trời và ánh sáng nhân tạo cũng có thể là tác nhân tiêu cực cho cơ thể. Theo Tổ chức Y tế thế giới (WHO) và Bộ Y tế và dịch vụ nhân sinh Hoa Kỳ (HHS), tia UV từ ánh nắng mặt trời và một số nguồn nhân tạo như đèn cực tím và giường tắm nắng (tanning bed) là nguồn gây ung thư [4, 5]. Vì thế, Hiệp hội Da liễu Hoa Kỳ (AODD) khuyên rằng, nên bổ sung vitamin D từ chế độ dinh dưỡng lành mạnh, gồm: thực phẩm, rau quả giàu vitamin D (sữa, nước cam, ngũ cốc, dầu gan cá và các loại cá béo như: cá hồi, cá trích, cá ngừ…). Liên quan đến lượng canxi đảm bảo cho cơ thể khỏe mạnh, Viện Dinh dưỡng quốc gia đề nghị, lượng vitamin D cung cấp cho cơ thể với liều lượng cụ thể hàng ngày là: trẻ em mới sinh đến 9 tuổi và thiếu niên từ 10-18 tuổi: 5 mcg/ngày; người lớn (từ 19-50 tuổi: 5 mcg/ngày; từ 51-60 tuổi: 10 mcg/ngày; >60 tuổi: 15 mcg/ngày); phụ nữ có thai và phụ nữ cho con bú: 5 mcg/ngày [6]. Theo khuyến cáo đồng thuận toàn cầu về Phòng ngừa và Kiểm soát bệnh còi xương dinh dưỡng vào năm 2016 [7], nguồn vitamin D nên được bổ sung qua các loại thực phẩm. Tuy nhiên, trong các trường hợp như trẻ có tiền căn bị thiếu hụt vitamin D, trẻ em và người lớn có nguy cơ thiếu vitamin D kèm theo yếu tố nguy cơ hay tình trạng bệnh làm giảm tổng hợp hoặc bổ sung vitamin D, phụ nữ có thai, cần được uống bổ sung vitamin D. Như vậy, với vai trò là bệ đỡ cho toàn bộ cơ thể, bộ xương cần được chúng ta quan tâm chăm sóc trong suốt cuộc đời.
TÀI LIỆU THAM KHẢO
[1] D.L. Longo, A.S. Fauci, D.L. Kasper, S.L. Hauser, J.L. Jameson, J. Loscalzo (2011), Harrison's principles of internal medicine, McGraw Hill Professional, p.4012.
[2] M. Saghafi, A. Azarian, K. Hashemzadeh, M. Sahebari, Z. Rezaieyazdi (2013), "Bone densitometry in patients with osteomalacia: is it valuable?", Clin. Cases Miner Bone Metab., 10(3), pp.180-182.
[3] M.N. Akhtar, S. Agarwal (2015), "Severe osteomalacia and malnutrition: many a slip between the cup and the lip - A case report based discussion", International Journal of Health Sciences & Research, 5(7), pp.536-542.
[4] Adele Green, et al. (2007), "The association of use of sunbeds with cutaneous malignant melanoma and other skin cancers: a systematic review", International Journal of Cancer, 120(5), pp.1116-1122.
[5] NTP (National Toxicology Program) (2016), 14th Report on Carcinogens, https://ntp.niehs.nih.gov/go/roc14.
[6] Nguyen Cong Khan, Pham Van Hoan (2008), "Vietnam recommended dietary allowances 2007", Asia Pac. J. Clin. Nutr., 17(s2), pp.409-415.